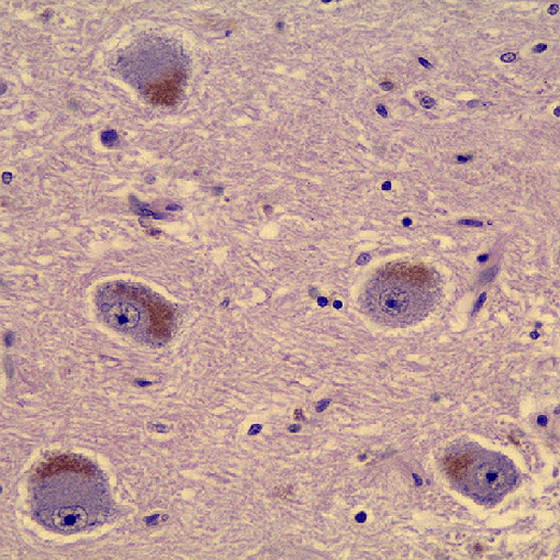
Gli inclusi citoplasmatici dei neuroni: la lipofuscina



Se vuoi saperne di più e capire meglio scorri la pagina verso il basso
Prova a rispondere a queste domande:
(le risposte sono al fondo della pagina)


Ricordati di consultare un libro o cercare informazioni in rete se non conosci il significato di alcuni termini!
Risposte
1.