
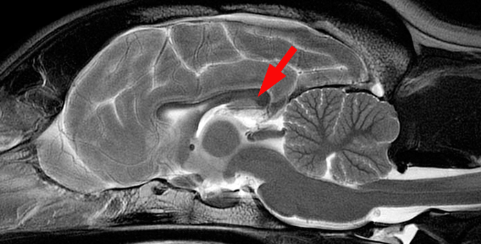
Sezione mediana dell’encefalo di cane in risonanza magnetica strutturale (sMRI) – la freccia rossa indica il corpo calloso
Il corpo calloso è un grosso fascio di sostanza bianca costituito da fibre nervose che collegano fra loro aree omologhe dei due emisferi cerebrali. Costituisce, assieme alla commessura anteriore, alla commessura posteriore, alla commessura abenulare, al fornice e al setto pellucido, l’insieme delle formazioni commessurali. Di queste ultime il corpo calloso, la commessura anteriore, il fornice e il setto pellucido sono più precisamente le formazioni commessurali interemisferiche, mentre la commessura abenulare e la commessura posteriore appartengono all’epitalamo.

Se vuoi saperne di più e capire meglio scorri la pagina verso il basso
Formazioni commessurali interemisferiche

Il corpo calloso si trova al fondo della fessura longitudinale dell’encefalo (scissura interemisferica). È un robusto fascio di sostanza bianca e consiste di una parte principale detta tronco, di un’estremità posteriore (splenio), di un’estremità anteriore (ginocchio) e di un sottile rostro che si estende dal ginocchio fino alla commessura anteriore. Prova a identificare queste parti del corpo calloso nell’immagine in sMRI in alto.
I collegamenti tra i due emisferi cerebrali sono assicurati prima di tutto proprio dal corpo calloso. All’interno del corpo calloso, le fibre più anteriori e più caudali
tendono a distribuirsi alle parti laterali corrispondenti della corteccia, dando luogo rispettivamente ai forcipi anteriore e posteriore del corpo calloso.
La maggior parte degli assoni che percorrono il corpo calloso consente la comunicazione tra porzioni omologhe (con la stessa funzione) delle aree corticali dei due emisferi. Tuttavia, questa organizzazione presenta una notevole variabilità: ad esempio non tutte le porzioni delle aree visive primarie dei due emisferi sono collegate fra loro attraverso il corpo calloso. Le parti di corteccia visiva che ricevono connessioni dalla retina periferica sono, infatti, acallosali (cioè non inviano o ricevono fibre attraverso il corpo calloso).
Una sezione permanente del corpo calloso dà luogo alla sindrome dello split brain (encefalo diviso), nella quale l’estrema riduzione dello scambio di informazioni
tra le due parti dell’encefalo porta a conseguenze drammatiche. Se vuoi saperne di più sulle conseguenze dello split brain leggi questo articolo: Storia di due metà: i pazienti split brain. Minori o inavvertibili sono invece le conseguenze se il corpo calloso manca dalla nascita (agenesia del corpo calloso). In questo caso gli scambi interemisferici vengono infatti assicurati dalle altre commessure. Secondo alcuni studi recenti il corpo calloso umano è sessualmente dimorfico, cioè diverso nei due sessi.
Prova ora a dare definizioni corrette dei seguenti termini:
(le risposte sono al fondo della pagina)
1: Commessura anteriore
2: Commessura posteriore
3: Commessura abenulare
4: Fornice
5: Setto pellucido
6: Epitalamo
7: Scissura interemisferica
8: Sindrome
9: Dimorfico
10: Agenesia
Risposte
1. Commessura (commissura) anteriore: Piccolo fascio di sostanza bianca, filogeneticamente antico e quindi associato all’archipallium, che connette fra loro le aree olfattive e le circonvoluzioni temporali media ed inferiore dei due emisferi.
2. Commessura (commissura) posteriore: Piccolo fascio di sostanza bianca che collega fra loro una serie di strutture mesencefaliche (collicoli anteriori, nuclei pretettali, nuclei somatomotori e visceroeffettori del nervo oculomotore).
3. Commessura (commissura) abenulare: Piccolo fascio di sostanza bianca per gran parte costituito da fibre di provenienza olfattiva, che connettono i due nuclei dell’abenula (da cui il nome).
4. Fornice: fascio di fibre nervose a forma di C che collega fra l’oro l’ippocampo e il corpo mammillare
5. Setto pellucido: Sottile membrana verticale di forma triangolare che separa le corna anteriori dei ventricoli laterali destro e sinistro. Considerato parte funzionale del sistema limbico, è implicato nelle emozioni e nei comportamenti istintivi.
6. Epitalamo: Parte dorsale (tetto) del diencefalo posta al di sopra del talamo (da cui il nome). Ha funzione olfattiva.
7. Scissura interemisferica: Profondo solco che separa i fra loro due emisferi cerebrali. È occupata dalla grande falce cerebrale.
8. Sindrome: Complesso di segni clinici, che possono essere provocati da cause molto diverse fra loro.
9. Dimorfico/dimorfismo: Presenza, in una specie animale, di due categorie di individui, con forme fra loro diverse. In un singolo soggetto il termine si riferisce alle caratteristiche diverse fra individui di una determinata struttura dell’organismo.
10. Agenesia: aplasia, mancanza o arresto di sviluppo di un organo o di una parte del corpo.


Ricordati di consultare un libro o cercare informazioni in rete se non conosci il significato di alcuni termini!

Quello che hai fatto è costruire un glossario con il significato di alcuni termini medici. Nel tempo prova a crearti un tuo glossario personale in modo da conoscere esattamente il significato dei termini che utilizzi.